PRODUCT CENTER
特色產品
概述:
抗體名稱:MSH3抗體(PACO14725)
抗體 SKU:PACO14725
大小:50ul
寄主物種:兔
經測試的應用:埃利薩,世界銀行,IHC
推薦稀釋度:ELISA:1:1000-1:5000, WB:1:200-1:1000, IHC:1:10-1:50
物種反應性:人類, 老鼠
免疫原:人MSH3融合蛋白
作為Assay Genie全國總代理,艾美捷科技強烈推薦Assay Genie熱銷產品MSH3 抗體 (PACO14725)。產品僅用于科研,不可用于臨床診斷。
| 產品名稱 | 貨號 | 詳情 |
| MSH3 抗體 (PACO14725) | PACO14725 | 查看 |
MSH3 抗體 (PACO14725):
| 形式: | 液 |
| 存儲緩沖區(qū): | -20°C, pH7.4 PBS, 0.05% NaN3, 40% 甘油 |
| 凈化方法: | 抗原親和純化 |
| 克隆性: | 多克隆 |
| 同種型: | 免疫球蛋白 |
| 標記: | 非標記 |

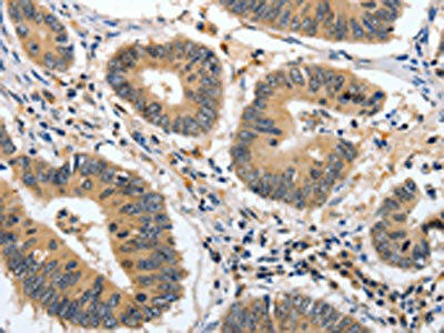
左圖是使用PACO14725(MSH3抗體)稀釋1/20對石蠟包埋的人結腸癌組織的免疫組織化學,右圖用融合蛋白處理。(原始放大倍率:x200)。
相關研究:
抗體
抗MSH3抗體(CAB5681)
MSH3抗體(PACO01112)
二抗
抗HRP山羊抗兔IgG(H+L)抗體(CABS014)
推薦產品
抗FITC山羊抗兔IgG(H+L)抗體(CABS011)
抗HRP偶聯(lián)β肌動蛋白抗體(CABC028)
Assay Genie旗下涵蓋了15種種屬的高品質的ELISA試劑盒及多種抗體,可檢測的指標種類豐富,覆蓋免疫、代謝和分子等多種研究領域,是科學研究中便捷的小助手。
微信掃碼在線客服