PRODUCT CENTER
特色產品58-15識別核糖核蛋白(RNP),RNP主要存在于核核糖核蛋白顆粒中,是核仁的主要成分之一。它識別在細胞周期中活躍的細胞,因此可用于測量細胞群的有絲分裂活性。由于該抗體可用于石蠟包埋的組織切片,因此它可以在常規固定的組織樣本中識別主動循環的細胞。58-15可以被認為是泛nRNP抗體。Pan-nRNP抗體可檢測一系列RNP蛋白。
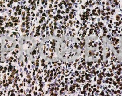
陽性對照:Jurkat細胞、K-562細胞、脾臟。

人脾臟
艾美捷PROGEN-抗核糖核蛋白小鼠單克隆抗體,58-15,純化:
貨號:691520
數量:1毫升(100微克/毫升)
抗體類型:單克隆
宿主:小鼠
亞型:IgM kappa
偶聯:未偶聯
應用:流式細胞術、免疫細胞化學/免疫熒光、免疫組織化學
純化:親和色譜
反應性:人類、大鼠
無反應性:小鼠
儲存:2-8°C
用途:僅限研究使用
克隆:58-15
免疫原:分離的細胞核
濃度:100微克/毫升
配方:含有0.02%的疊氮化鈉的PBS
UniprotID:P22626(人類)、A7VJC2(大鼠)
同義詞:異質核糖核蛋白A2/B1、hnRNP A2/B1、HNRNPA2B1、HNRNPA2B1
測試應用 測試稀釋
免疫細胞化學(ICC)/免疫熒光(IF) 1:100至1:200(0.5-1.0微克/毫升)
免疫組織化學(IHC)- 冷凍切片 1:25至1:50(2-4微克/毫升)
免疫組織化學(IHC)- 石蠟切片 1:25至1:50(2-4微克/毫升;推薦使用10 mM檸檬酸緩沖液pH 6.0微波處理或用1毫克/毫升的胰蛋白酶在PBS中消化)
流式細胞術(FACS) 每百萬細胞1-2微克/0.1毫升,在4°C下用4%的PFA固定10分鐘,用0.2%的皂角素或地高辛在4°C下通透15分鐘
PROGEN提供不同格式的小鼠單克隆抗體。不同的抗體可能不會提供每種格式,以下是所有可能的格式:
上清液和上清液濃縮液:這種格式包含雜交瘤細胞培養上清液。抗體未純化,抗體濃度未確定。不同批次的抗體濃度可能會有所不同。因此,我們建議對每個新批次的抗體進行滴定,以確定用于特定應用的最佳濃度。
凍干、純化:這種格式包含凍干形式的純化抗體。該抗體的重組方法在數據表中有描述。重組后緩沖液的組成也在數據表上注明。
液體、純化:這種格式包含液態形式的純化抗體。濃度在數據表上注明。
預稀釋、純化:這種格式包含液態形式的純化抗體。這種格式中的大多數抗體已經稀釋,可直接用于標準組織的IHC。但是,這種格式中的一些抗體需要進一步稀釋才能用于IHC。這在數據表上有說明。
PROGEN,體外診斷試劑的制造商和供應商。 主要產品線: 經過質檢驗證的抗體、體外診斷產品、抗體噬菌體展示技術、密度梯度分離液和AAV(腺相關病毒)檢測試劑盒等。
艾美捷科技是PROGEN的中國代理商,為科研工作者提供優質的產品與服務。
微信掃碼在線客服