PRODUCT CENTER
特色產品
作為ALPCO在中國的區域總代理,艾美捷科技強烈推薦ALPCO熱銷產品抗凝血酶III(大鼠)ELISA試劑盒,96w。
作為ALPCO在中國的區域總代理,艾美捷科技強烈推薦ALPCO熱銷產品載脂蛋白H (APOH) ELISA試劑盒。
該抗體在體內和體外識別分化的足細胞(腎小球內臟上皮細胞)(與動脈內皮細胞的額外反應較弱),與α-肌動蛋白共定位。
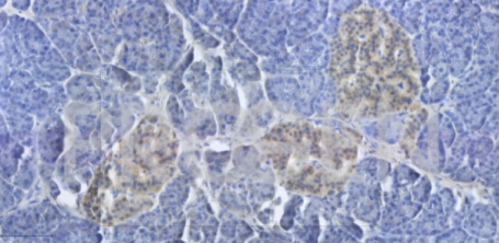
DCS-22與細胞周期蛋白D3特異性反應。該抗體可用于分析增殖、檢測組織切片上的細胞周期蛋白D3(疑似癌基因)和細胞周期研究。
PROGEN 該抗體在體內和體外識別分化的足細胞(腎小球內臟上皮細胞)(與動脈內皮細胞的額外反應較弱),與α-肌動蛋白共定位。不與壁細胞反應。
AAV ELISA對照可用于相應的AAV ELISA作為陽性對照。它們由完全組裝的空AAV顆粒組成,并已根據我們內部建立的參考標準材料進行表征,或者在AAV2和AAV8的情況下,根據國際參考標準進行表征。
作為ALPCO在中國的區域總代理,艾美捷科技強烈推薦ALPCO熱銷產品猴子白蛋白ELISA試劑盒,96孔。
http://m.zihai029.com/d/file/brand/reagents/2024-08-20/1724115326595.png
作為ALPCO在中國的區域總代理,艾美捷科技強烈推薦ALPCO熱銷產品α1-酸性糖蛋白ELISA試劑盒,96孔。
作為ALPCO在中國的區域總代理,艾美捷科技強烈推薦ALPCO熱銷產品 α1-酸性糖蛋白(雞)ELISA試劑盒,96孔。
作為ALPCO在中國的區域總代理,艾美捷科技強烈推薦ALPCO熱銷產品大鼠α2-巨球蛋白ELISA試劑盒,96孔
作為ALPCO在中國的區域總代理,艾美捷科技強烈推薦ALPCO熱銷產品α1-抗凝乳胰蛋白酶ELISA試劑盒,96孔
作為ALPCO在中國的區域總代理,艾美捷科技強烈推薦ALPCO熱銷產品α1-抗胰蛋白酶(小鼠)ELISA試劑盒,96w。
作為ALPCO在中國的區域總代理,艾美捷科技強烈推薦ALPCO熱銷產品α1-抗胰蛋白酶(犬)ELISA試劑盒,96孔。
腎上腺素(epinephrine)、去甲腎上腺素(norepinephrine)和多巴胺是交感神經系統的神經遞質,參與許多生理過程
PROGEN-神經絲200 kDa,牛,250?g:作為1D和2D SDS凝膠電泳、免疫測定和免疫接種的蛋白標準。
微信掃碼在線客服